Banner
AI-based Radiotherapy Solutions – ART Plan by TheraPanacea

AI-based Radiotherapy Solutions – ART Plan by TheraPanacea

Request Demo

300+ Clinical Users on 5 Continents – University of Vienna – Key Reference Centre

Description:

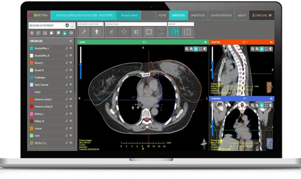
The ART Plan by TheraPanacea is an AI-powered radiotherapy planning solution designed to optimize cancer treatment. It leverages advanced artificial intelligence algorithms to create precise, patient-specific treatment plans for radiation therapy, improving accuracy and efficiency. ART Plan integrates seamlessly with existing clinical workflows and provides real-time insights to help oncologists deliver safer and more effective treatments.

ART-Plan™: AI-powered radiotherapy.

An intelligent software for high-precision radiotherapy, ART-Plan™ optimizes every step of the treatment process flow, from preparation to follow-up.

a

Annotate

AI-based software for automatic delineation.

sf

SmartFuse

AI-initiated rigid and deformable fusion.

mb

MR-Box

MR-based pseudo-CT generation and automation.

ab

AdaptBox

AI-enhanced tool for efficient and precise adaptive planning.

AI-based Radiotherapy Solutions – ART Plan by TheraPanacea

AI-based Radiotherapy Solutions – ART Plan by TheraPanacea

Request Demo

300+ Clinical Users on 5 Continents – University of Vienna – Key Reference Centre

Description:

The ART Plan by TheraPanacea is an AI-powered radiotherapy planning solution designed to optimize cancer treatment. It leverages advanced artificial intelligence algorithms to create precise, patient-specific treatment plans for radiation therapy, improving accuracy and efficiency. ART Plan integrates seamlessly with existing clinical workflows and provides real-time insights to help oncologists deliver safer and more effective treatments.

ART-Plan™: AI-powered radiotherapy.

An intelligent software for high-precision radiotherapy, ART-Plan™ optimizes every step of the treatment process flow, from preparation to follow-up.

a

Annotate

AI-based software for automatic delineation.

sf

SmartFuse

AI-initiated rigid and deformable fusion.

mb

MR-Box

MR-based pseudo-CT generation and automation.

ab

AdaptBox

AI-enhanced tool for efficient and precise adaptive planning.

Loader